ふじみ野市
大井みどり動物病院

治療実績

WORKS

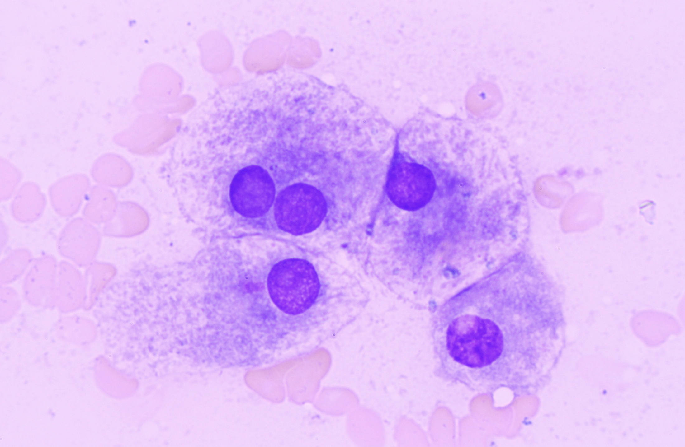
急性肝炎 1

肝臓の細胞検査

 
一般的な胃腸障害だと考えていましたが、精密検査により、肝臓に細菌感染を起こしていることがわかりました。おそらく腸の中の細菌が原因です。入院治療により改善が認められました。(2025/09/01)

 

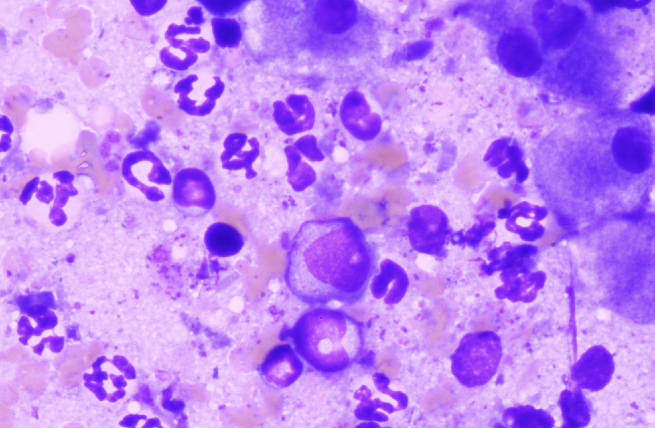
急性肝炎 2

肝臓の細胞検査

 
1と非常に似ていますが、肝臓の細胞検査では異常が認められませんが、1と同様な病態と考え治療を行った結果快方に向かっています。(2025/09/05)